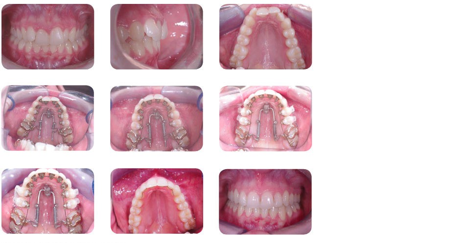
Temporary anchorage devices
An innovative new anchorage method for tooth correction, developed in Germany and now available from JJ Thompson.
The system comes with a variety of abutments to enable applications such as maxillary expansion, molar uprighting and mesialisation/distalisation of molars.
MONDEFIT can be combined with other lingual and labial treatments, making it an extremely versatile choice. Easy to use and minimally invasive, the MONDEFIT system is a valuable addition to the experienced orthodontist’s toolkit.

MONDEFIT clinical case: distalisation
